



लकवा (Stroke) के लक्षणों को पहचाने और शीघ्रता करें। 80% लकवों को 4.30 घंटे के अंदर ठीक किया जा सकता है। "Time is brain" लकवा देश में मृत्यु का चौथा एवं अपंगता का सबसे बड़ा कारण है।

लकवा (stroke) भारत में मृत्यु का चौथा सबसे बड़ा कारण लेकिन 80% लकवो को होने से ही रोका जा सकता है। जागरूक रहिये स्वस्थ रहिये !

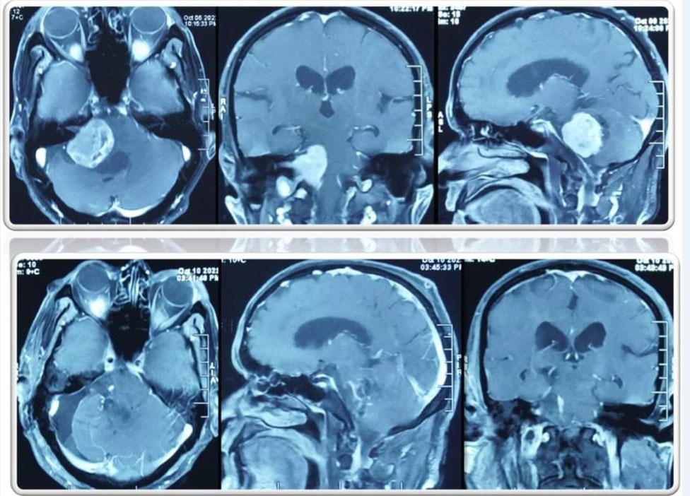
Moving ahead from facial preservation, hearing preservation in acoustic surgery always remains a challenge. With a good Cochlear nerve preservation rate and preserving useful hearing in almost one third cases, here I am presenting my latest case.
Though here, salvageable hearing was not present even in pre-op, but post-op Audiogram is showing absolutely untouched Cochlear nerve.

Book Review on "Surgical Nuances of Head Injury" published in "Neurosurgery".
I have no words for Gregory W.J.Hawryluk-MD PhD (Cleveland Clinic, USA) to express my gratitude. While writing this book, I have compiled my 15 years of neurosurgical journey in 2 years and today is a great day of my life......

Lt Temporal lobectomy with Amygdalo-hippocampectomy was done. At the completion, a completely normal ECoG was achieved. Post-op remains uneventful & patient was discharged on the 7th post-op day......

Removal of a large tumor behind the eye, which may be as large as the entire orbit, is a very challenging and complicated operation.....

Dr.Anoop Kumar Singh, Case Study

IMA CGP 2023 @ AMA, Dr.Anoop Kumar Singh, Topic - Headache : A Practical Approach

Cauda Equina Syndrome - 45 Yrs/M, with acute onset 5 days old h/o Cauda Equina Syndrome and a large superiorly migrated L4/5 disc as culprit. Among many Endoscopic available options, I still found Destandaus technique a beautiful one in such scenarios.

Zee UP UK - उत्तर प्रदेश की बात आजमगढ़ से, ज़ी यूपी-उत्तराखंड के मंच पर अलग-अलग क्षेत्र से जुड़ी हस्तियां, अलग-अलग हस्तियों से उनके सफर पर दिलचस्प चर्चा

बांग्लादेश से आए मरीज ने लाइफ लाइन हॉस्पिटल के डॉ अनूप सहित पूरे स्टॉप के लिए मांगी दुआ ! - Feb 2023

KGMU Lucknow - Book Launch Dr.Anoop Kumar Singh

UP UK Neurocon, Banaras Hindu University - 2022 Dr.Anoop Kumar Singh

NSICON Agra - Book Launch Dr.Anoop Kumar Singh

Awake Craniotomy is a technique by which brain surgeries are performed especially in important brain regions where any damage may lead to major impact on patient's physical condition...

Sharing my experiences at V-NEUROENDOCON2018 a National Platform on Endoscopic Spine Surgeries. It is the first national recognition of neurosurgical work being done at Azamgarh. I had presented my series of 100 patients that include patients from 18 yrs to 82 yrs...

It's a great time for us, as we had performed the first Minimal invasive spinal fusion technique with MAST quadrant with the help of Medtronic India and Fortis Hospital Noida...
Now a day every specialty is going for minimally invasive technique. In last decade of 20th century endoscope gradually enters into neurosurgical armamentarium when neurosurgeon's started...
पर्यावरण संरक्षण के प्रति हमारी प्रतिबध्दता के कारण लाइफ लाइन हॉस्पिटल ने लगातार दूसरे वर्ष मानसून के दस्तक देते ही अपना पर्यावरण संरक्षण अभियान दोबारा शुरू कर दिया है I हमें ख़ुशी है हमारे युवा...